| Viljarendi(ileum) av seyði, sum er deyður av garnasótt (Paratuberkulosis, Johne's disease) |
![]() |
![]() |
| Viljarendi, Ileum, uppskorin. Legg til merkis tann gula litin. Hettar er tað sokallaða gula slagið av paratuberkulbakterium. |
![]() |
![]() |
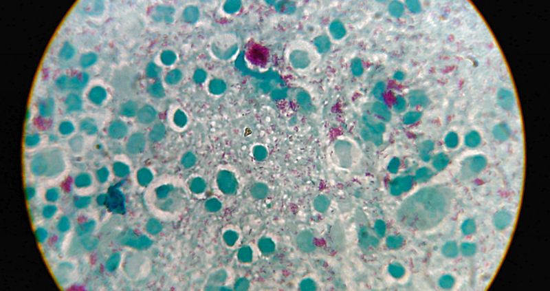
| Paratuberkulbakteriur - úr viljarenda vístur omanfyri - í sjóneyku. Ziehl-Neelsen liting. Reyðu blettirnir eru bakteriurner. |